Bệnh Sán Lợn Gạo Taenia Solium: Nguyên Nhân, Triệu Chứng, Phòng Tránh Và Điều Trị Hiệu Quả
Bác sĩ Nguyễn Văn Đức giải thích chi tiết về bệnh sán lợn gạo (Taenia solium), con đường lây nhiễm qua thịt heo sống – chín tái, cơ chế phát triển của ấu trùng, triệu chứng nhận biết, cách phòng và điều trị. Khi nào cần làm xét nghiệm ký sinh trùng để bảo vệ sức khỏe?
Bệnh sán lợn gạo Taenia solium là gì?
Chia sẻ từ Bác sĩ Nguyễn Văn Đức, hiện đang công tác trong lĩnh vực ký sinh trùng học tại Phòng khám Quốc tế Ánh Nga Hà Nội.
Bệnh sán lợn gạo (Taenia solium) là một bệnh lý khá phổ biến tại Việt Nam. Đây là bệnh ký sinh trùng nguy hiểm, gây ảnh hưởng đến hệ tiêu hóa, mô cơ, mắt và đặc biệt là hệ thần kinh trung ương.
Nhiều trường hợp mắc bệnh thường không có triệu chứng rõ ràng, dẫn đến phát hiện muộn và tăng nguy cơ biến chứng. Vì thế, việc hiểu đúng về đường lây, biểu hiện và điều trị là vô cùng quan trọng.
Nguyên nhân gây bệnh sán lợn gạo (Taenia solium)
Nguyên nhân trực tiếp gây bệnh sán lợn gạo là do con người ăn phải miếng thịt heo sống hoặc chưa được nấu chín kỹ có chứa ấu trùng Cysticercus cellulosae. Những món ăn “nguy cơ cao” bao gồm: gỏi sống, nem chua, nem thính, chạo, thịt tái, tiết canh, hoặc các món nướng chưa chín kỹ.

Vòng đời sán lợn (sán gạo heo)
Cơ chế lây nhiễm – điều mà ít người biết
Khi ấu trùng vào cơ thể người, chúng:
- Được giải phóng trong dạ dày,
- Xuyên qua niêm mạc ruột,
- Đi theo dòng máu đến khắp các bộ phận trong cơ thể.
Từ đây, có hai tình huống xảy ra:
Tình huống 1: Ấu trùng đến mô, cơ và trở thành “gạo lợn”
Nếu ấu trùng đi đến mô liên kết, cơ dưới da, lưỡi, sau 9–10 tuần, chúng phát triển thành nang ấu trùng – còn gọi là gạo heo.
- Nang có kích thước dài 17–20 mm, rộng 7–10 mm
- Bên trong chứa dịch màu trắng cùng đầu sán
- Sau khoảng 1 năm, nang ấu trùng tự chết và hóa vôi, không còn khả năng gây nhiễm
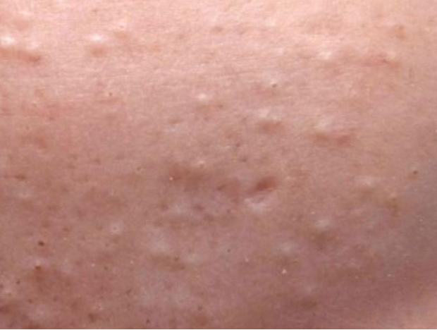
Ở giai đoạn này, người bệnh có thể sờ thấy các u nhỏ dưới da—không đau nhưng gây khó chịu và thẩm mỹ kém.
Tình huống 2: Ấu trùng đến ruột non và phát triển thành sán trưởng thành
Nếu ấu trùng tiếp tục đến dạ dày hoặc ruột non, chúng:
- Dựa vào men tiêu hóa để thoát ra khỏi nang
- Đầu sán nhô ra và nhanh chóng bám vào niêm mạc ruột
- Phát triển thành sán trưởng thành trong vòng 2 tháng
Sán trưởng thành ký sinh ở hỗng tràng – nơi giàu dinh dưỡng để chúng sinh trưởng mạnh.
Mỗi ngày, 4–5 đốt sán già chứa hàng nghìn trứng sẽ rụng theo phân hoặc tự bò ra khỏi hậu môn. Nếu môi trường không được xử lý vệ sinh, trứng sán phát tán ra:
- Nguồn nước, ao hồ, sông suối
- Rau sống, đất cát, thực phẩm
- Chuồng trại chăn nuôi
Khi con người nuốt phải trứng, hoặc heo ăn phải đốt sán, vòng đời của sán lại tiếp tục.
Ăn thịt heo nhiễm sán bao lâu thì phát bệnh?
- 24–72 giờ đầu: Ấu trùng đi qua dạ dày, xuống ruột non, xâm nhập hệ tuần hoàn
- 2 tháng kế tiếp: Ấu trùng cư trú ở mô liên kết và tạo thành nang
- 67–72 ngày: Sán trưởng thành bắt đầu có đốt sán già rụng theo phân
- Một con sán trưởng thành có thể sống đến 25 năm trong cơ thể người

Triệu chứng của bệnh sán lợn gạo
Tùy thuộc vào việc cơ thể nhiễm sán trưởng thành hay ấu trùng sán lợn, triệu chứng sẽ khác nhau.
Triệu chứng khi nhiễm sán trưởng thành (Taenia solium)
Sán trưởng thành sống trong ruột gây:
- Đau bụng âm ỉ, đầy hơi
- Tiêu chảy hoặc táo bón kéo dài
- Buồn nôn, chán ăn
- Sụt cân không rõ nguyên nhân
- Cảm giác "bò ngứa” vùng hậu môn
- Đôi khi nhìn thấy đốt sán theo phân
Triệu chứng khi nhiễm ấu trùng sán lợn (gạo lợn)
Ấu trùng di chuyển và ký sinh tại các mô:
- Nổi các hạt nhỏ dưới da, sờ thấy hạt đôi khi có ngứa hoặc không ngứa
- Đau đầu kéo dài, chóng mặt, suy giảm trí nhớ không rõ nguyên nhân
- Co giật (nếu tổn thương não)
- Mờ mắt, giảm thị lực (khi ký sinh ở mắt)
- Rối loạn cảm giác hoặc vận động, có thể tê bì nơi có chứa các hạt nhỏ dưới da
Thể ấu trùng trong não (neurocysticercosis) là dạng nguy hiểm nhất, có thể gây biến chứng nặng, thậm chí tử vong.

Dưới da có nốt u - mụn nhỏ
Cách phòng chống bệnh sán lợn gạo
Ăn chín – uống sôi
Đảm bảo thịt heo được nấu chín hoàn toàn ở nhiệt độ sôi trong 2 phút. Không ăn nem chua, gỏi sống, thịt tái hoặc tiết canh.
Giữ vệ sinh cá nhân và môi trường
- Rửa tay với xà phòng hoặc nước rửa tay trước khi ăn và sau khi đi vệ sinh
- Quản lý phân thải đúng cách
- Che đậy thực phẩm, tránh ruồi bám vào thức ăn
Kiểm soát nguồn thực phẩm
- Mua thịt có kiểm định
- Không chọn thịt có hạt trắng đục bất thường
- Che đậy, vệ sinh dụng cụ làm bếp luôn sạch sẽ
Xét nghiệm định kỳ để phát hiện sớm
Với người có nguy cơ cao hoặc có triệu chứng kéo dài, nên thực hiện xét nghiệm ký sinh trùng để phát hiện bệnh sớm và điều trị kịp thời.
Điều trị bệnh sán lợn gạo
Điều trị tùy theo loại nhiễm:
Điều trị sán trưởng thành
Dùng thuốc theo phác đồ chuyên khoa như:
- Praziquantel
- Niclosamide
Việc uống thuốc phải có bác sĩ theo dõi để tránh biến chứng khi đốt sán rụng ồ ạt.
Điều trị ấu trùng sán lợn
Phức tạp hơn và thường cần:
- Thuốc diệt ấu trùng
- Thuốc chống viêm, giảm phù não
- Theo dõi bằng CT hoặc MRI
- Điều trị phối hợp chuyên khoa thần kinh – ký sinh trùng
Tuyệt đối không tự ý mua thuốc tẩy giun để điều trị sán lợn vì có thể gây phản ứng nặng khi ấu trùng chết hàng loạt.
Kết luận
Bệnh sán lợn gạo (Taenia solium) là bệnh lý nguy hiểm nhưng hoàn toàn có thể phòng ngừa nếu thực hành ăn chín – uống sôi và giữ vệ sinh tốt. Phát hiện sớm và điều trị đúng cách sẽ giúp hạn chế tối đa biến chứng.
Lời khuyên từ Bác sĩ chuyên khoa Nguyễn Văn Đức
Nếu bạn nghi ngờ mình đã ăn thịt heo tái, có triệu chứng kéo dài hoặc chỉ muốn kiểm tra định kỳ, hãy đến cơ sở y tế uy tín để làm xét nghiệm ký sinh trùng và được bác sĩ tư vấn phương pháp điều trị phù hợp.
Sức khỏe của bạn là tài sản quý giá nhất – đừng để ký sinh trùng đe dọa cuộc sống!
Bác sĩ. Nguyễn Văn Đức
PHÒNG KHÁM ÁNH NGA HÀ NỘI
PHÒNG KHÁM KÝ SINH TRÙNG HÀ NỘI
CHUYÊN GIA VỀ NGỨA VÀ GIUN SÁN
ĐC: 443 Giải Phóng, Phường Tương Mai, Hà Nội
Điện thoại 0985294298 - Hotline: 02473001318
Mở của từ 7h đến 17h, thứ 2 đến CN
Xét Nghiệm, Điều Trị Bệnh Giun Sán Gây Ngứa
Ngứa Da Lâu Ngày Ở Trẻ: Cẩn Thận Ấu Trùng Giun Sán Toxocara
Trẻ bị ngứa da kéo dài, nổi tổn thương, bội nhiễm có thể liên quan ấu trùng giun đũa chó mèo Toxocara. Bác sĩ tư vấn nguyên nhân, cách xét nghiệm và phòng ngừa...
Xem: 21Cập nhật: 06.03.2026
Sán Dây Chó Echinococcus: Nguyên Nhân, Điều Trị Và Phòng Ngừa
Tổng quan bệnh sán dây chó Echinococcus, nguyên nhân lây nhiễm, cách điều trị hiệu quả tại Phòng khám Ký sinh trùng Ánh Nga và hướng dẫn phòng ngừa an toàn cho gia...
Xem: 1596Cập nhật: 24.02.2026
Ngứa Da Mặt Kéo Dài Có Phải Do Demodex?
Bác sĩ Nguyễn Văn Đức tư vấn nguyên nhân ngứa da mặt kéo dài nghi do Demodex, con đường lây nhiễm kể cả từ thú cưng, và hướng điều trị hiệu quả tại cơ...
Xem: 1952Cập nhật: 20.02.2026
Trẻ Ngứa Hậu Môn Ban Đêm Có Phải Giun Kim?
Bé 7 tuổi ngứa hậu môn, nghi giun kim không khỏi sau tẩy giun? Tiến sĩ Bác sĩ Nguyễn Hằng Lan tư vấn nguyên nhân, cách điều trị và phòng lây nhiễm hiệu quả.
Xem: 2481Cập nhật: 16.02.2026


8942_185x130.jpg)















8683_330x200.jpg)





